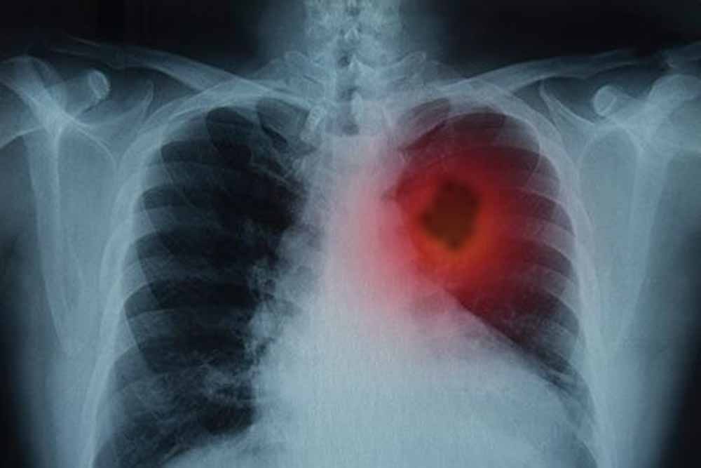
फेफड़ों के कैंसर से जूझ रहे लाखों लोगों के लिए विज्ञान की दुनिया से एक बहुत बड़ी और राहत भरी खबर आई है। दरअसल, वैज्ञानिकों ने एक ऐसा तरीका खोजा है जिससे फेफड़ों के ट्यूमर को उसकी सबसे बड़ी कमजोरी पर वार करके खत्म किया जा सकता है। जी हां, इस शोध के दौरान, उन्होंने एक बेहद जरूरी प्रोटीन की पहचान की। बता दें, यह प्रोटीन कैंसर कोशिकाओं को 'मरने' से बचाता है। ऐसे में, शोधकर्ताओं का कहना है कि अगर इस खास प्रोटीन की गतिविधि को रोक दिया जाए, तो कैंसर कोशिकाएं खुद-ब-खुद नष्ट होने लगती हैं और ट्यूमर सिकुड़ जाता है।
वैज्ञानिकों ने खोजी सबसे बड़ी कमजोरी
हाल ही में शोधकर्ताओं ने फेफड़ों के कैंसर की एक महत्वपूर्ण कमजोरी का पता लगाया है- एक ऐसा प्रोटीन, जिसे रोक दिया जाए तो कैंसर कोशिकाएं खुद को ही नष्ट करने लगती हैं। यह खोज न सिर्फ इलाज के नए रास्ते खोलती है, बल्कि भविष्य में ऐसे कई मरीजों के लिए जीवनदायिनी साबित हो सकती है, जिन्हें अब तक सीमित विकल्प ही उपलब्ध थे।
'सेल्फ-डिस्ट्रक्शन' से बच निकलते थे कैंसर सेल्स
अमेरिका के एनवाइसी लैंगोन हेल्थ के वैज्ञानिक लंबे समय से यह समझने की कोशिश कर रहे थे कि आखिर क्यों कुछ कैंसर कोशिकाएं शरीर की रक्षा प्रणाली से बचकर बढ़ती चली जाती हैं। इसी खोज के दौरान उन्होंने एक खास प्रोटीन- एफएसपी1 (FSP1) की पहचान की।
यह प्रोटीन कैंसर कोशिकाओं को एक खास तरह की कोशिका मृत्यु, जिसे फेरोप्टोसिस कहा जाता है, से बचाता है। फेरोप्टोसिस वह प्रक्रिया है जिसमें शरीर अत्यधिक तनाव में आ चुकी कोशिकाओं को खुद-ब-खुद नष्ट कर देता है। आमतौर पर यह प्रक्रिया शरीर की सुरक्षा प्रणाली का हिस्सा है, लेकिन कैंसर कोशिकाएं इसी से बचकर बढ़ती रहती हैं।
एफएसपी1 को रोकने से क्या हुआ?
शोधकर्ताओं ने चूहों पर प्रयोग करते हुए एफएसपी1 प्रोटीन को रोका। परिणाम इतने चौंकाने वाले थे कि उन्हें वैज्ञानिक ‘ड्रामेटिक’ कह रहे हैं।
चूहों के फेफड़ों में मौजूद ट्यूमर तेजी से सिकुड़ने लगे
कई कैंसर कोशिकाओं ने खुद को नष्ट करना शुरू कर दिया
कुल मिलाकर ट्यूमर का आकार लगभग 80% तक घट गया
यह परिणाम बताते हैं कि एफएसपी1 को निष्क्रिय करने से कैंसर कोशिकाओं के पास बचने का कोई रास्ता नहीं रहता और वे फेरोप्टोसिस की प्रक्रिया में फंसकर खत्म होने लगती हैं।
क्यों जरूरी है यह खोज?
फेफड़ों के एडेनोकार्सिनोमा जैसे कैंसर का इलाज अक्सर मुश्किल हो जाता है क्योंकि ये कोशिकाएं सामान्य उपचार का प्रतिरोध करने लगती हैं। परंतु यदि कैंसर की ऐसी कमजोरी मिल जाए, जिसमें वह खुद को खत्म करने लगे, तो यह उपचार की दिशा पूरी तरह बदल सकता है।
इस शोध से यह स्पष्ट होता है कि एफएसपी1 को लक्ष्य बनाकर बनाई गई दवाएं भविष्य में कैंसर थेरेपी का महत्वपूर्ण हिस्सा बन सकती हैं। खास बात यह है कि यह तरीका कैंसर की प्राकृतिक कमजोरी का उपयोग करता है, यानी शरीर की अपनी सेल-डिस्ट्रक्शन प्रक्रिया को सक्रिय कर दिया जाता है।
कैंसर से जंग को मिलेगी नई दिशा?
हालांकि यह शोध अभी शुरुआती चरण में है और प्रयोग चूहों पर किए गए हैं, लेकिन वैज्ञानिकों का मानना है कि यदि इसी सिद्धांत को मानव उपचार में सुरक्षित रूप से लागू किया गया तो फेफड़ों के कैंसर से लड़ाई को एक नई दिशा मिल सकती है।
शोधकर्ता अब यह समझने की कोशिश कर रहे हैं कि एफएसपी1 को रोकने वाली दवाइयां इंसानों में कितनी प्रभावी और सुरक्षित होंगी। अगर यह सफल हुआ तो आने वाले वर्षों में कैंसर मरीजों के लिए यह एक क्रांतिकारी कदम साबित हो सकता है।

More Stories
इन फ्री एप्स से अपने एंड्रायड स्मार्टफोन को बनाएं सुरक्षित
समय के साथ चेकअप जरूरी है सेहत के लिए
बिना सॉफ्टवेयर इंस्टॉल किए स्क्रीन शेयरिंग! BenQ ने पेश किया नया मॉडर्न मीटिंग सॉल्यूशन