April 22, 2026

Scientists achieve a major victory

1 min read

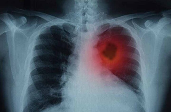
फेफड़ों के कैंसर से जूझ रहे लाखों लोगों के लिए विज्ञान की दुनिया से एक बहुत बड़ी और राहत भरी...